Case Studies - Root Canal Treatment

Case Study 1

After removing the old crown, the RCT is completed

After removing the old crown, the RCT is completed

Posts are placed for a new crown.

Posts are placed for a new crown.

Case Study 2

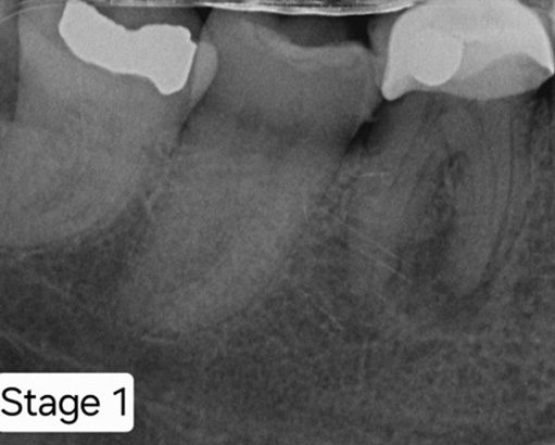
Pathology present in the Lower Left 7 – the patient was motivated to save the tooth.

Pathology present in the Lower Left 7 – the patient was motivated to save the tooth.

RCT completed with posts placed.

RCT completed with posts placed.

Follow up x-ray taken after 6 months.

Follow up x-ray taken after 6 months.