• Home
  • Our Team
  • About Us
  • Case Studies
    • Implants
    • Root Canal Treatment
    • Composite Bonding
    • Invisalign
  • Christmas Newsletter
  • Social Events Gallery
  • Fees
  • General Dentistry
  • Cosmetic Dentistry
  • Teeth Straightening
  • Dental Implants
  • Facial Aesthetics
  • Dental Sedation
  • Online Referral
  • Practice Plan
  • GDPR Compliance
  • Complaints Policy
  • Contact Us
  • Our Team
  • General Dentistry
  • Cosmetic Dentistry
  • Teeth Straightening
  • Dental Implants
  • Facial Aesthetics
  • Online Referral
  • Practice Plan
  • Dental Sedation
A W Brown Dental Practice
  • Our Team
  • General Dentistry
  • Cosmetic Dentistry
  • Teeth Straightening
  • Dental Implants
  • Facial Aesthetics
  • Online Referral
  • Practice Plan
  • Dental Sedation
Our Team  |  General Dentistry  |  Cosmetic Dentistry  |  Teeth Straightening  |  Dental Implants  |  Facial Aesthetics  |  Online Referral |  Practice Plan
Contact Us

11 Victoria Street Felixstowe Suffolk IP11 7EW

Call 01394 274 936
Enquire Here

Case Studies - Composite Bonding

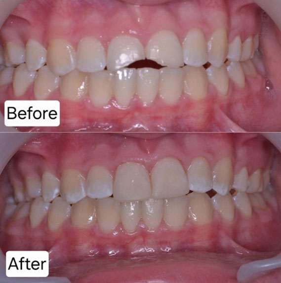
Case Study 1

Composite Bonding

Case Study 2

Composite Bonding

11 Victoria Street Felixstowe Suffolk IP11 7EW

Call 01394 274 936
Enquire Here

Our Team | General Dentistry | Cosmetic Dentistry | Teeth Straightening | Dental Implants | Facial Aesthetics | Practice Plan | About Us | Fees |Testimonials | Contact Us

  • Follow
  • Follow
  • Follow
© 2015 A W Brown Dental Practice| Designed by bOnline | Version 5.0 © 2023 bOnline Limited